CTLA4 Recombinant Monoclonal Antibody
Beta LifeScience
SKU/CAT #: BLC-06527A

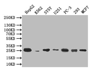
Western BlotPositive WB detected in: HepG2 whole cell lysate, K562 whole cell lysate, SY5Y whole cell lysate, U251 whole cell lysate, PC-3 whole cell lysate, 293 whole cell lysate, MCF7 whole cell lysateAll lanes: CTLA4 antibody at 1:500SecondaryGoat polyclonal to mouse IgG at 1/50000 dilutionPredicted band size: 25 kDaObserved band size: 25 kDa

Immunofluorescence staining of HEPG2 cell with CTLA4 Recombinant Monoclonal Antibody at 1:30, counter-stained with DAPI. The cells were fixed in 4% formaldehyde and blocked in 10% normal Goat Serum. The cells were then incubated with the antibody overnight at 4C. The secondary antibody was FITC-conjugated AffiniPure Goat Anti-Mouse IgG(H+L).

Overlay Peak curve showing JK cells surface stained with CTLA4 Recombinant Monoclonal Antibody (red line) at 1:50. Then 10% normal goat serum to block non-specific protein-protein interactions followed by the antibody (1ug/1*106cells) for 45min at 4℃. The secondary antibody used was FITC-conjugated Goat Anti-Mouse IgG(H+L) at 1/200 dilution for 35 min at 4°C. Isotype control antibody (green line) was mouse IgG1 (1µg/1*106cells) used under the same conditions. Acquisition of >10,015 events was performed.
CTLA4 Recombinant Monoclonal Antibody
Beta LifeScience
SKU/CAT #: BLC-06527A
Our products are highly customizable to meet your specific needs. You can choose options such as endotoxin removal, liquid or lyophilized forms, preferred tags, and the desired functional sequence range for proteins. Submitting a written inquiry expedites the quoting process.
Product Overview
Product Title | CTLA4 Recombinant Monoclonal Antibody |
Description | The recombinant antibody against CTLA4 was produced using the Recombinant Human CTLA4 protein as the immunogen. This antibody exists as a non-conjugated isotype Mouse IgG, Affinity-chromatography purified. This antibody has been validated on ELISA, WB, IF, FC. |
Uniprot Id - Alink | P16410 |
Reactivity | Human |
Target Name | CTLA4 |
Target Synonyms | ALPS5 antibody; CD 152 antibody; CD antibody; CD152 antibody; CD152 antigen antibody; CD152 isoform antibody; Celiac disease 3 antibody; CELIAC3 antibody; CTLA 4 antibody; CTLA-4 antibody; CTLA4 antibody; CTLA4_HUMAN antibody; Cytotoxic T cell associated 4 antibody; Cytotoxic T lymphocyte antigen 4 antibody; Cytotoxic T lymphocyte associated 4 antibody; Cytotoxic T lymphocyte associated 4, soluble isoform, included antibody; Cytotoxic T lymphocyte associated antigen 4 antibody; Cytotoxic T lymphocyte associated antigen 4 short spliced form antibody; Cytotoxic T lymphocyte associated protein 4 antibody; Cytotoxic T lymphocyte associated serine esterase 4 antibody; Cytotoxic T lymphocyte protein 4 antibody; Cytotoxic T-lymphocyte protein 4 antibody; Cytotoxic T-lymphocyte-associated antigen 4 antibody; GRD4 antibody; GSE antibody; ICOS antibody; IDDM12 antibody; insulin-dependent diabetes mellitus 12 antibody; Ligand and transmembrane spliced cytotoxic T lymphocyte associated antigen 4 antibody; OTTHUMP00000216623 antibody |
Immunogen Description | Recombinant Human CTLA4 protein |
Immunogen Species | Human |
Immunogen Sequence | Complete sequences for the immunogen, target protein, and peptides are available upon request. |
Conjugate | Non-conjugated |
Clonality | Monoclonal |
Isotype | Mouse IgG |
Purification Method | Affinity-chromatography purified |
Buffer | 0.03% Proclin 300Constituents: 50% Glycerol, 0.01M PBS, PH 7.4 |
Form | Liquid |
Application | ELISA, WB, IF, FC |
Storage Conditions | Upon receipt, store at -20°C or -80°C. Avoid repeated freeze. |