BMI1 Recombinant Monoclonal Antibody
Beta LifeScience
SKU/CAT #: BLC-06702A
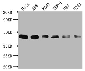
Western Blot | Positive WB detected in: Hela whole cell lysate, 293 whole cell lysate, K562 whole cell lysate, THP-1 whole cell lysate, U87 whole cell lysate, U251 whole cell lysate | All lanes: BMI1 antibody at 1:2000 | Secondary | Goat polyclonal to rabbit IgG at 1/50000 dilution | Predicted band size: 37 kDa | Observed band size: 45 kDa
IHC image of BMI1 Recombinant Monoclonal Antibody diluted at 1:100 and staining in paraffin-embedded human liver cancer performed on a Leica BondTM system. After dewaxing and hydration, antigen retrieval was mediated by high pressure in a citrate buffer (pH 6.0). Section was blocked with 10% normal goat serum 30min at RT. Then primary antibody (1% BSA) was incubated at 4℃ overnight. The primary is detected by a Goat anti-rabbit IgG polymer labeled by HRP and visualized using 0.05% DAB.
IHC image of BMI1 Recombinant Monoclonal Antibody diluted at 1:100 and staining in paraffin-embedded human lung cancer performed on a Leica BondTM system. After dewaxing and hydration, antigen retrieval was mediated by high pressure in a citrate buffer (pH 6.0). Section was blocked with 10% normal goat serum 30min at RT. Then primary antibody (1% BSA) was incubated at 4℃ overnight. The primary is detected by a Goat anti-rabbit IgG polymer labeled by HRP and visualized using 0.05% DAB.
BMI1 Recombinant Monoclonal Antibody
Beta LifeScience
SKU/CAT #: BLC-06702A
Our products are highly customizable to meet your specific needs. You can choose options such as endotoxin removal, liquid or lyophilized forms, preferred tags, and the desired functional sequence range for proteins. Submitting a written inquiry expedites the quoting process.
Product Overview
| Product Title | BMI1 Recombinant Monoclonal Antibody |
| Description | The recombinant antibody against BMI1 was produced using a synthesized peptide derived from human Bmi1 as the immunogen. This antibody exists as a non-conjugated isotype Rabbit IgG, Affinity-chromatography purified. This antibody has been validated on ELISA, WB, IHC. |
| Uniprot Id - Alink | P35226 |
| Reactivity | Human |
| Target Name | BMI1 |
| Target Synonyms | Polycomb complex protein BMI-1 (Polycomb group RING finger protein 4) (RING finger protein 51), BMI1, PCGF4 RNF51 |
| Immunogen Description | A synthesized peptide derived from human Bmi1 |
| Immunogen Species | Human |
| Immunogen Sequence | Complete sequences for the immunogen, target protein, and peptides are available upon request. |
| Conjugate | Non-conjugated |
| Clonality | Monoclonal |
| Isotype | Rabbit IgG |
| Purification Method | Affinity-chromatography purified |
| Buffer | Rabbit IgG in phosphate buffered saline, pH 7.4, 150mM NaCl, 0.02% sodium azide and 50% glycerol. |
| Form | Liquid |
| Application | ELISA, WB, IHC |
| Storage Conditions | Upon receipt, store at -20°C or -80°C. Avoid repeated freeze. |
