Phospho-RB1 (S780) Recombinant Monoclonal Antibody
Beta LifeScience
SKU/CAT #: BLC-06479A
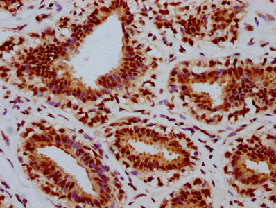
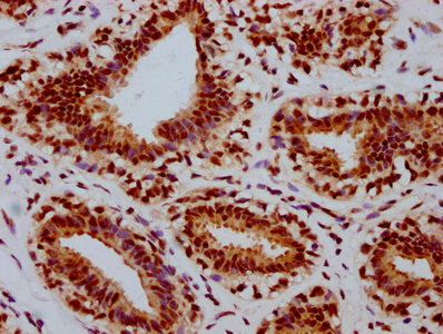
IHC image of the antibody diluted at 1:100 and staining in paraffin-embedded human breast cancer performed on a Leica BondTM system. After dewaxing and hydration, antigen retrieval was mediated by high pressure in a citrate buffer (pH 6.0). Section was blocked with 10% normal goat serum 30min at RT. Then primary antibody (1% BSA) was incubated at 4℃ overnight. The primary is detected by a biotinylated secondary antibody and visualized using an HRP conjugated SP system.
Immunofluorescence staining of K562 cells with Phospho-RB1 (S780) Recombinant Monoclonal Antibody at 1:100,counter-stained with DAPI. The cells were fixed in 4% formaldehyde, permeabilized using 0.2% Triton X-100 and blocked in 10% normal Goat Serum. The cells were then incubated with the antibody overnight at 4℃. The secondary antibody was Alexa Fluor 488-congugated AffiniPure Goat Anti-Rabbit IgG (H+L).
Immunoprecipitating Phospho-RB1 in Hela whole cell lysate | Lane 1: Rabbit control IgG(1μg)instead of Phospho-RB1 (S780) Recombinant Monoclonal Antibody in Hela whole cell lysate. | For western blotting,a HRP-conjugated Protein G antibody was used as the secondary antibody (1/2000) | Lane 2: Phospho-RB1 (S780) Recombinant Monoclonal Antibody(3μg)+ Hela whole cell lysate(1mg) | Lane 3: Hela whole cell lysate (20μg)
Phospho-RB1 (S780) Recombinant Monoclonal Antibody
Beta LifeScience
SKU/CAT #: BLC-06479A
Our products are highly customizable to meet your specific needs. You can choose options such as endotoxin removal, liquid or lyophilized forms, preferred tags, and the desired functional sequence range for proteins. Submitting a written inquiry expedites the quoting process.
Product Overview
| Product Title | Phospho-RB1 (S780) Recombinant Monoclonal Antibody |
| Description | The recombinant antibody against RB1 was produced using a synthesized peptide derived from Human Phospho-RB1 (S780) as the immunogen. This antibody exists as a non-conjugated isotype Rabbit IgG, Affinity-chromatography purified. This antibody has been validated on ELISA, IHC, IF, IP. |
| Uniprot Id - Alink | P06400 |
| Reactivity | Human |
| Target Name | RB1 |
| Target Synonyms | Exon 17 tumor GOS561 substitution mutation causes premature stop antibody; GOS563 exon 17 substitution mutation causes premature stop antibody; OSRC antibody; Osteosarcoma antibody; p105-Rb antibody; P105RB antibody; PP105 antibody; pp110 antibody; PPP1R130 antibody; pRb antibody; Prepro retinoblastoma associated protein antibody; Protein phosphatase 1 regulatory subunit 130 antibody; Rb antibody; RB transcriptional corepressor 1 antibody; RB_HUMAN antibody; RB1 antibody; RB1 gene antibody; Retinoblastoma 1 antibody; Retinoblastoma suspectibility protein antibody; Retinoblastoma-associated protein antibody |
| Immunogen Description | A synthesized peptide derived from Human Phospho-RB1 (S780) |
| Immunogen Species | Human |
| Immunogen Sequence | Complete sequences for the immunogen, target protein, and peptides are available upon request. |
| Conjugate | Non-conjugated |
| Clonality | Monoclonal |
| Isotype | Rabbit IgG |
| Purification Method | Affinity-chromatography purified |
| Buffer | Rabbit IgG in phosphate buffered saline , pH 7.4, 150mM NaCl, 0.02% sodium azide and 50% glycerol. |
| Form | Liquid |
| Application | ELISA, IHC, IF, IP |
| Storage Conditions | Upon receipt, store at -20°C or -80°C. Avoid repeated freeze. |
