Phospho-JUN (S63) Recombinant Monoclonal Antibody
Beta LifeScience
SKU/CAT #: BLC-06486A
Western Blot | Positive WB detected in: Hela whole cell lysate, A549 whole cell lysate(treated with Calyculin A or EGF) | All lanes: Phospho-JUN antibody at 0.95μg/ml | Secondary | Goat polyclonal to rabbit IgG at 1/50000 dilution | Predicted band size: 48 KDa | Observed band size: 48 KDa
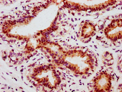
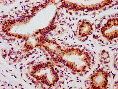
IHC image of Phospho-JUN (S63) Recombinant Monoclonal Antibody diluted at 1:100 and staining in paraffin-embedded human breast cancer performed on a Leica BondTM system. After dewaxing and hydration, antigen retrieval was mediated by high pressure in a citrate buffer (pH 6.0). Section was blocked with 10% normal goat serum 30min at RT. Then primary antibody (1% BSA) was incubated at 4°C overnight. The primary is detected by a biotinylated secondary antibody and visualized using an HRP conjugated SP system.
Immunofluorescence staining of A549 cells with Phospho-JUN (S63) Recombinant Monoclonal Antibody at 1:100,counter-stained with DAPI. The cells were fixed in 4% formaldehyde, permeabilized using 0.2% Triton X-100 and blocked in 10% normal Goat Serum. The cells were then incubated with the antibody overnight at 4°C. The secondary antibody was Alexa Fluor 488-congugated AffiniPure Goat Anti-Rabbit IgG (H+L).
Phospho-JUN (S63) Recombinant Monoclonal Antibody
Beta LifeScience
SKU/CAT #: BLC-06486A
Our products are highly customizable to meet your specific needs. You can choose options such as endotoxin removal, liquid or lyophilized forms, preferred tags, and the desired functional sequence range for proteins. Submitting a written inquiry expedites the quoting process.
Product Overview
| Product Title | Phospho-JUN (S63) Recombinant Monoclonal Antibody |
| Description | The recombinant antibody against JUN was produced using a synthesized peptide derived from Human Phospho-JUN (S63) as the immunogen. This antibody exists as a non-conjugated isotype Rabbit IgG, Affinity-chromatography purified. This antibody has been validated on ELISA, WB, IHC, IF. |
| Uniprot Id - Alink | P05412 |
| Reactivity | Human |
| Target Name | JUN |
| Target Synonyms | Activator protein 1 antibody; AP 1 antibody; AP-1 antibody; AP1 antibody; cJun antibody; Enhancer Binding Protein AP1 antibody; Jun Activation Domain Binding Protein antibody; JUN antibody; Jun oncogene antibody; JUN protein antibody; Jun proto oncogene antibody; JUN_HUMAN antibody; JUNC antibody; Oncogene JUN antibody; p39 antibody; Proto oncogene c jun antibody; Proto oncogene cJun antibody; Proto-oncogene c-jun antibody; Transcription Factor AP 1 antibody; Transcription factor AP-1 antibody; Transcription Factor AP1 antibody; V jun avian sarcoma virus 17 oncogene homolog antibody; V jun sarcoma virus 17 oncogene homolog (avian) antibody; V jun sarcoma virus 17 oncogene homolog antibody; V-jun avian sarcoma virus 17 oncogene homolog antibody; vJun Avian Sarcoma Virus 17 Oncogene Homolog antibody |
| Immunogen Description | A synthesized peptide derived from Human Phospho-JUN (S63) |
| Immunogen Species | Human |
| Immunogen Sequence | Complete sequences for the immunogen, target protein, and peptides are available upon request. |
| Conjugate | Non-conjugated |
| Clonality | Monoclonal |
| Isotype | Rabbit IgG |
| Purification Method | Affinity-chromatography purified |
| Buffer | Rabbit IgG in phosphate buffered saline , pH 7.4, 150mM NaCl, 0.02% sodium azide and 50% glycerol. |
| Form | Liquid |
| Application | ELISA, WB, IHC, IF |
| Storage Conditions | Upon receipt, store at -20°C or -80°C. Avoid repeated freeze. |
