Rabbit anti-Human TGM4 Polyclonal Antibody
Beta LifeScience
SKU/CAT #: BLC-03835A
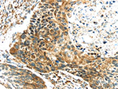
The image on the left is immunohistochemistry of paraffin-embedded Human prostate cancer tissue using the antibody Antibody) at dilution 1/20, on the right is treated with fusion protein. (Original magnification: ×200)
The image on the left is immunohistochemistry of paraffin-embedded Human esophagus cancer tissue using TGM4 Antibody(TGM4 Antibody) at dilution 1/20, on the right is treated with fusion protein. (Original magnification: ×200)
Gel: 6%SDS-PAGE, Lysate: 40 μg, Lane 1-5: Hela, lncap, skov3, 293T and TM4 cell, Primary antibody: TGM4 Antibody(TGM4 Antibody) at dilution 1/400 dilution, Secondary antibody: Goat anti rabbit IgG at 1/8000 dilution, Exposure time: 10 seconds
Rabbit anti-Human TGM4 Polyclonal Antibody
Beta LifeScience
SKU/CAT #: BLC-03835A
Our products are highly customizable to meet your specific needs. You can choose options such as endotoxin removal, liquid or lyophilized forms, preferred tags, and the desired functional sequence range for proteins. Submitting a written inquiry expedites the quoting process.
Product Overview
| Product Title | Rabbit anti-Human TGM4 Polyclonal Antibody |
| Description | The antibody against TGM4 was raised in rabbit using the Fusion protein of Human TGM4 as the immunogen. This antibody exists as a non-conjugated isotype IgG, Antigen affinity purified. This antibody has been validated on ELISA, WB, IHC. |
| Uniprot Id - Alink | P49221 |
| Host Species | Rabbit |
| Reactivity | Human |
| Target Name | TGM4 |
| Target Synonyms | Dorsal prostate transglutaminase antibody; Dorsal protein 1 antibody; Dp1 antibody; Fibrinoligase antibody; hTGP antibody; Prostate specific transglutaminase antibody; Prostate transglutaminase antibody; Prostate-specific transglutaminase antibody; Protein glutamine gamma glutamyltransferase 4 antibody; Protein-glutamine gamma-glutamyltransferase 4 antibody; TG(P) antibody; TGase P antibody; TGase-4 antibody; TGase4 antibody; Tgm4 antibody; TGM4_HUMAN antibody; TGP antibody; Transglutaminase 4 (prostate) antibody; Transglutaminase 4 antibody; Transglutaminase P antibody; Transglutaminase, prostate antibody; Transglutaminase-4 antibody |
| Immunogen Description | Fusion protein of Human TGM4 |
| Immunogen Species | Human |
| Immunogen Sequence | Complete sequences for the immunogen, target protein, and peptides are available upon request. |
| Conjugate | Non-conjugated |
| Clonality | Polyclonal |
| Isotype | IgG |
| Purification Method | Antigen affinity purified |
| Buffer | pH7.4 PBS, 0.05% NaN3, 40% Glycerol |
| Form | Liquid |
| Application | ELISA, WB, IHC |
| Storage Conditions | Upon receipt, store at -20°C or -80°C. Avoid repeated freeze. |
