Rabbit anti-Human SENP8 Polyclonal Antibody
Beta LifeScience
SKU/CAT #: BLC-03876A
The image on the left is immunohistochemistry of paraffin-embedded Human breast cancer tissue using the antibody Antibody) at dilution 1/40, on the right is treated with fusion protein. (Original magnification: ×200)
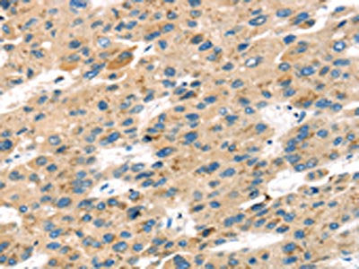
The image on the left is immunohistochemistry of paraffin-embedded Human liver cancer tissue using SENP8 Antibody(SENP8 Antibody) at dilution 1/40, on the right is treated with fusion protein. (Original magnification: ×200)
Gel: 12%SDS-PAGE,Lysate: 40 μg,Lane 1-6: 293T cells, Hela cells, Lovo cells, Raji cells, HUEVC cells, Mouse spleen tissue,Primary antibody: SENP8 Antibody(SENP8 Antibody) at dilution 1/600 dilution,Secondary antibody: Goat anti rabbit IgG at 1/8000 dilution,Exposure time: 20 seconds
Rabbit anti-Human SENP8 Polyclonal Antibody
Beta LifeScience
SKU/CAT #: BLC-03876A
Our products are highly customizable to meet your specific needs. You can choose options such as endotoxin removal, liquid or lyophilized forms, preferred tags, and the desired functional sequence range for proteins. Submitting a written inquiry expedites the quoting process.
Product Overview
| Product Title | Rabbit anti-Human SENP8 Polyclonal Antibody |
| Description | The antibody against SENP8 was raised in rabbit using the Full length fusion protein as the immunogen. This antibody exists as a non-conjugated isotype IgG, Antigen affinity purified. This antibody has been validated on ELISA, WB, IHC. |
| Uniprot Id - Alink | Q96LD8 |
| Host Species | Rabbit |
| Reactivity | Human, Mouse, Rat |
| Target Name | SENP8 |
| Target Synonyms | cysteine 2 antibody; DEN 1 antibody; DEN1 antibody; Deneddylase 1 antibody; Deneddylase-1 antibody; FKSG8 antibody; HsT17512 antibody; NEDD 8 specific protease 1 antibody; NEDD8 specific protease cysteine 2 antibody; NEDD8-specific protease 1 antibody; NEDP 1 antibody; NEDP1 antibody; Protease antibody; Protease,聽cysteine聽2 antibody; PRSC2 antibody; SENP8 antibody; SENP8_HUMAN antibody; Sentrin / SUMO specific protease SENP 8 antibody; Sentrin-specific protease 8 antibody; Sentrin/SUMO-specific protease SENP8 antibody; SUMO sentrin specific protease family member 8 antibody; SUMO/sentrin peptidase family member; NEDD8 specific antibody; SUMO/sentrin specific peptidase family member 8 antibody |
| Immunogen Description | Full length fusion protein |
| Immunogen Species | Human |
| Immunogen Sequence | Complete sequences for the immunogen, target protein, and peptides are available upon request. |
| Conjugate | Non-conjugated |
| Clonality | Polyclonal |
| Isotype | IgG |
| Purification Method | Antigen affinity purified |
| Buffer | pH7.4 PBS, 0.05% NaN3, 40% Glycerol |
| Form | Liquid |
| Application | ELISA, WB, IHC |
| Storage Conditions | Upon receipt, store at -20°C or -80°C. Avoid repeated freeze. |
