Rabbit anti-Human RFX2 Polyclonal Antibody
Beta LifeScience
SKU/CAT #: BLC-00551A
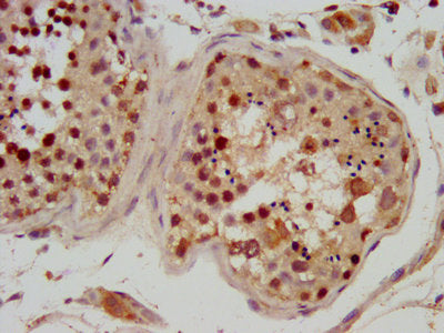
IHC image of the antibody diluted at 1:600 and staining in paraffin-embedded human testis tissue performed on a Leica BondTM system. After dewaxing and hydration, antigen retrieval was mediated by high pressure in a citrate buffer (pH 6.0). Section was blocked with 10% normal goat serum 30min at RT. Then primary antibody (1% BSA) was incubated at 4°C overnight. The primary is detected by a biotinylated secondary antibody and visualized using an HRP conjugated SP system.
IHC image of RFX2 Antibody diluted at 1:600 and staining in paraffin-embedded human glioma performed on a Leica BondTM system. After dewaxing and hydration, antigen retrieval was mediated by high pressure in a citrate buffer (pH 6.0). Section was blocked with 10% normal goat serum 30min at RT. Then primary antibody (1% BSA) was incubated at 4°C overnight. The primary is detected by a biotinylated secondary antibody and visualized using an HRP conjugated SP system.
Immunofluorescence staining of MCF-7 cells with RFX2 Antibody at 1:200, counter-stained with DAPI. The cells were fixed in 4% formaldehyde, permeabilized using 0.2% Triton X-100 and blocked in 10% normal Goat Serum. The cells were then incubated with the antibody overnight at 4°C. The secondary antibody was Alexa Fluor 488-congugated AffiniPure Goat Anti-Rabbit IgG(H+L).
Rabbit anti-Human RFX2 Polyclonal Antibody
Beta LifeScience
SKU/CAT #: BLC-00551A
Our products are highly customizable to meet your specific needs. You can choose options such as endotoxin removal, liquid or lyophilized forms, preferred tags, and the desired functional sequence range for proteins. Submitting a written inquiry expedites the quoting process.
Product Overview
| Product Title | Rabbit anti-Human RFX2 Polyclonal Antibody |
| Description | The antibody against RFX2 was raised in rabbit using the Recombinant Human DNA-binding protein RFX2 protein (1-130AA) as the immunogen. This antibody exists as a non-conjugated isotype IgG, purified by protein G with a purity greater than 95%. This antibody has been validated on ELISA, IHC, IF. |
| Uniprot Id - Alink | P48378 |
| Host Species | Rabbit |
| Reactivity | Human |
| Target Name | RFX2 |
| Target Synonyms | DNA-binding protein RFX2 antibody; HLA class II regulatory factor RFX2 antibody; regulatory factor X 2 (influences HLA class II expression) antibody; Regulatory factor X 2 antibody; regulatory factor X2 antibody; RFX2 antibody; RFX2_HUMAN antibody; trans acting regulatory factor 2 antibody |
| Immunogen Description | Recombinant Human DNA-binding protein RFX2 protein (1-130AA) |
| Immunogen Species | Human |
| Immunogen Sequence | Complete sequences for the immunogen, target protein, and peptides are available upon request. |
| Conjugate | Non-conjugated |
| Clonality | Polyclonal |
| Isotype | IgG |
| Purification Method | >95%, Protein G purified |
| Buffer | 0.03% Proclin 300Constituents: 50% Glycerol, 0.01M PBS, pH 7.4 |
| Form | Liquid |
| Application | ELISA, IHC, IF |
| Storage Conditions | Upon receipt, store at -20°C or -80°C. Avoid repeated freeze. |
