Rabbit anti-Human PTPRK Polyclonal Antibody
Beta LifeScience
SKU/CAT #: BLC-00241A
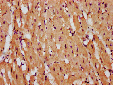
IHC image of the antibody diluted at 1:400 and staining in paraffin-embedded human heart tissue performed on a Leica BondTM system. After dewaxing and hydration, antigen retrieval was mediated by high pressure in a citrate buffer (pH 6.0). Section was blocked with 10% normal goat serum 30min at RT. Then primary antibody (1% BSA) was incubated at 4°C overnight. The primary is detected by a biotinylated secondary antibody and visualized using an HRP conjugated SP system.
IHC image of PTPRK Antibody diluted at 1:400 and staining in paraffin-embedded human colon cancer performed on a Leica BondTM system. After dewaxing and hydration, antigen retrieval was mediated by high pressure in a citrate buffer (pH 6.0). Section was blocked with 10% normal goat serum 30min at RT. Then primary antibody (1% BSA) was incubated at 4°C overnight. The primary is detected by a biotinylated secondary antibody and visualized using an HRP conjugated SP system.
Immunofluorescence staining of HepG2 cells with PTPRK Antibody at 1:133, counter-stained with DAPI. The cells were fixed in 4% formaldehyde, permeabilized using 0.2% Triton X-100 and blocked in 10% normal Goat Serum. The cells were then incubated with the antibody overnight at 4°C. The secondary antibody was Alexa Fluor 488-congugated AffiniPure Goat Anti-Rabbit IgG(H+L).
Rabbit anti-Human PTPRK Polyclonal Antibody
Beta LifeScience
SKU/CAT #: BLC-00241A
Our products are highly customizable to meet your specific needs. You can choose options such as endotoxin removal, liquid or lyophilized forms, preferred tags, and the desired functional sequence range for proteins. Submitting a written inquiry expedites the quoting process.
Product Overview
| Product Title | Rabbit anti-Human PTPRK Polyclonal Antibody |
| Description | The antibody against PTPRK was raised in rabbit using the Recombinant Human Receptor-type tyrosine-protein phosphatase kappa protein (589-749AA) as the immunogen. This antibody exists as a non-conjugated isotype IgG, purified by protein G with a purity greater than 95%. This antibody has been validated on ELISA, IHC, IF. |
| Uniprot Id - Alink | Q15262 |
| Host Species | Rabbit |
| Reactivity | Human |
| Target Name | PTPRK |
| Target Synonyms | dJ480J14.2.1 antibody; DKFZp686C2268 antibody; DKFZp779N1045 antibody; OTTHUMP00000017180 antibody; OTTHUMP00000017181 antibody; OTTHUMP00000017182 antibody; OTTHUMP00000017187 antibody; OTTHUMP00000040306 antibody; Protein tyrosine phosphatase kappa antibody; Protein tyrosine phosphatase kappa precursor antibody; Protein tyrosine phosphatase receptor type K antibody; Protein tyrosine phosphatase receptor type kappa antibody; Protein-tyrosine phosphatase kappa antibody; PTPK antibody; PTPkappa antibody; Ptprk antibody; PTPRK_HUMAN antibody; R PTP kappa antibody; R-PTP-kappa antibody; Receptor type tyrosine protein phosphatase kappa antibody; Receptor-type tyrosine-protein phosphatase kappa antibody |
| Immunogen Description | Recombinant Human Receptor-type tyrosine-protein phosphatase kappa protein (589-749AA) |
| Immunogen Species | Human |
| Immunogen Sequence | Complete sequences for the immunogen, target protein, and peptides are available upon request. |
| Conjugate | Non-conjugated |
| Clonality | Polyclonal |
| Isotype | IgG |
| Purification Method | >95%, Protein G purified |
| Buffer | 0.03% Proclin 300Constituents: 50% Glycerol, 0.01M PBS, pH 7.4 |
| Form | Liquid |
| Application | ELISA, IHC, IF |
| Storage Conditions | Upon receipt, store at -20°C or -80°C. Avoid repeated freeze. |
