Rabbit anti-Human PTPA Polyclonal Antibody
Beta LifeScience
SKU/CAT #: BLC-02856A
Western Blot | Positive WB detected in: 293 whole cell lysate, HepG2 whole cell lysate, K562 whole cell lysate | All lanes: PTPA antibody at 3.3µg/ml | Secondary | Goat polyclonal to rabbit IgG at 1/50000 dilution | Predicted band size: 41, 37, 34, 32 kDa | Observed band size: 41 kDa
IHC image of PTPA Antibody diluted at 1:1000 and staining in paraffin-embedded human endometrial cancer performed on a Leica BondTM system. After dewaxing and hydration, antigen retrieval was mediated by high pressure in a citrate buffer (pH 6.0). Section was blocked with 10% normal goat serum 30min at RT. Then primary antibody (1% BSA) was incubated at 4°C overnight. The primary is detected by a biotinylated secondary antibody and visualized using an HRP conjugated SP system.
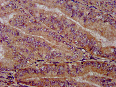
IHC image of PTPA Antibody diluted at 1:1000 and staining in paraffin-embedded human prostate tissue performed on a Leica BondTM system. After dewaxing and hydration, antigen retrieval was mediated by high pressure in a citrate buffer (pH 6.0). Section was blocked with 10% normal goat serum 30min at RT. Then primary antibody (1% BSA) was incubated at 4°C overnight. The primary is detected by a biotinylated secondary antibody and visualized using an HRP conjugated SP system.
Rabbit anti-Human PTPA Polyclonal Antibody
Beta LifeScience
SKU/CAT #: BLC-02856A
Our products are highly customizable to meet your specific needs. You can choose options such as endotoxin removal, liquid or lyophilized forms, preferred tags, and the desired functional sequence range for proteins. Submitting a written inquiry expedites the quoting process.
Product Overview
| Product Title | Rabbit anti-Human PTPA Polyclonal Antibody |
| Description | The antibody against PTPA was raised in rabbit using the Recombinant Human Serine/threonine-protein phosphatase 2A activator protein (1-250AA) as the immunogen. This antibody exists as a non-conjugated isotype IgG, purified by protein G with a purity greater than 95%. This antibody has been validated on ELISA, WB, IHC, IF. |
| Uniprot Id - Alink | Q15257 |
| Host Species | Rabbit |
| Reactivity | Human |
| Target Name | PTPA |
| Target Synonyms | subunit B'' antibody; KIAA0044 antibody; MGC2184 antibody; Phosphotyrosyl phosphatase activator antibody; PP2A antibody; PP2A phosphatase activator antibody; PP2A subunit B' antibody; PP2A subunit B' isoform PR53 antibody; PP2A subunit B' PR53 isoform antibody; PPP2R4 antibody; PR53 antibody; PR53 isoform antibody; Protein phosphatase 2, regulatory subunit B-prime antibody; Protein phosphatase 2A activator regulatory subunit 4 antibody; Protein phosphatase 2A regulatory subunit B' (PR 53) antibody; PTPA antibody; PTPA_HUMAN antibody; Serine/threonine protein phosphatase 2A regulatory subunit B' antibody; Serine/threonine-protein phosphatase 2A activator antibody; Serine/threonine-protein phosphatase 2A regulatory subunit 4 antibody; Serine/threonine-protein phosphatase 2A regulatory subunit B'' antibody |
| Immunogen Description | Recombinant Human Serine/threonine-protein phosphatase 2A activator protein (1-250AA) |
| Immunogen Species | Human |
| Immunogen Sequence | Complete sequences for the immunogen, target protein, and peptides are available upon request. |
| Conjugate | Non-conjugated |
| Clonality | Polyclonal |
| Isotype | IgG |
| Purification Method | >95%, Protein G purified |
| Buffer | 0.03% Proclin 300Constituents: 50% Glycerol, 0.01M PBS, PH 7.4 |
| Form | Liquid |
| Application | ELISA, WB, IHC, IF |
| Storage Conditions | Upon receipt, store at -20°C or -80°C. Avoid repeated freeze. |
