Rabbit anti-Human PPP2R2A Polyclonal Antibody
Beta LifeScience
SKU/CAT #: BLC-01110A
Western Blot | Positive WB detected in: Rat brain tissue, Mouse brain tissue, Mouse liver tissue, Mouse kidney tissue | All lanes: PPP2R2A antibody at 3μg/ml | Secondary | Goat polyclonal to rabbit IgG at 1/50000 dilution | Predicted band size: 52, 53 kDa | Observed band size: 52 kDa
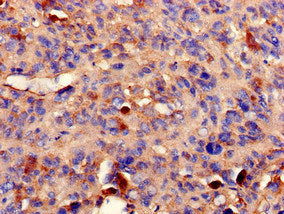
Immunohistochemistry of paraffin-embedded human melanoma using PPP2R2A Antibody at dilution of 1:100
Immunofluorescent analysis of Hela cells using PPP2R2A Antibody at dilution of 1:100 and Alexa Fluor 488-congugated AffiniPure Goat Anti-Rabbit IgG(H+L)
Rabbit anti-Human PPP2R2A Polyclonal Antibody
Beta LifeScience
SKU/CAT #: BLC-01110A
Our products are highly customizable to meet your specific needs. You can choose options such as endotoxin removal, liquid or lyophilized forms, preferred tags, and the desired functional sequence range for proteins. Submitting a written inquiry expedites the quoting process.
Product Overview
| Product Title | Rabbit anti-Human PPP2R2A Polyclonal Antibody |
| Description | The antibody against PPP2R2A was raised in rabbit using the Recombinant Human Serine/threonine-protein phosphatase 2A 55 kDa regulatory subunit B alpha isoform protein (2-149AA) as the immunogen. This antibody exists as a non-conjugated isotype IgG, purified by protein G with a purity greater than 95%. This antibody has been validated on ELISA, WB, IHC, IF. |
| Uniprot Id - Alink | P63151 |
| Host Species | Rabbit |
| Reactivity | Human, Mouse, Rat |
| Target Name | PPP2R2A |
| Target Synonyms | 2ABA_HUMAN antibody; Alpha isoform of regulatory subunit B55 protein phosphatase 2 antibody; B55A antibody; B55ALPHA antibody; calcineurin antibody; PP2A subunit B B alpha isoform antibody; PP2A subunit B B55 alpha isoform antibody; PP2A subunit B isoform alpha antibody; PP2A subunit B isoform B55-alpha antibody; PP2A subunit B isoform PR55-alpha antibody; PP2A subunit B isoform R2-alpha antibody; PP2A subunit B PR55 alpha isoform antibody; PP2A subunit B R2 alpha isoform antibody; PPP2R2A antibody; PR52A antibody; PR55A antibody; Protein phosphatase 2 (formerly 2A) regulatory subunit B (PR 52) alpha isoform antibody; Protein phosphatase 2 (formerly 2A); regulatory subunit B (PR52); alpha isoform antibody; Protein phosphatase 2 regulatory subunit B alpha antibody; Protein phosphatase 2 regulatory subunit B alpha isoform antibody; Protein phosphatase 2 regulatory subunit Balpha antibody; Serine/threonine protein phosphatase 2A 55 kDa regulatory subunit B alpha isoform antibody; Serine/threonine-protein phosphatase 2A 55 kDa regulatory subunit B alpha isoform antibody; Testicular tissue protein Li 156 antibody |
| Immunogen Description | Recombinant Human Serine/threonine-protein phosphatase 2A 55 kDa regulatory subunit B alpha isoform protein (2-149AA) |
| Immunogen Species | Human |
| Immunogen Sequence | Complete sequences for the immunogen, target protein, and peptides are available upon request. |
| Conjugate | Non-conjugated |
| Clonality | Polyclonal |
| Isotype | IgG |
| Purification Method | >95%, Protein G purified |
| Buffer | 0.03% Proclin 300Constituents: 50% Glycerol, 0.01M PBS, pH 7.4 |
| Form | Liquid |
| Application | ELISA, WB, IHC, IF |
| Storage Conditions | Upon receipt, store at -20°C or -80°C. Avoid repeated freeze. |
