Rabbit anti-Human PBX1 Polyclonal Antibody
Beta LifeScience
SKU/CAT #: BLC-00786A
Western Blot | Positive WB detected in: Rat kidney tissue | All lanes: PBX1 antibody at 4.7μg/ml | Secondary | Goat polyclonal to rabbit IgG at 1/50000 dilution | Predicted band size: 47, 39 kDa | Observed band size: 47 kDa
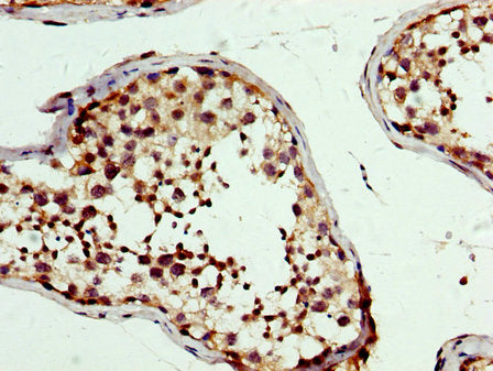
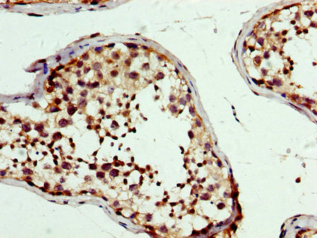
IHC image of PBX1 Antibody diluted at 1:300 and staining in paraffin-embedded human testis tissue performed on a Leica BondTM system. After dewaxing and hydration, antigen retrieval was mediated by high pressure in a citrate buffer (pH 6.0). Section was blocked with 10% normal goat serum 30min at RT. Then primary antibody (1% BSA) was incubated at 4°C overnight. The primary is detected by a biotinylated secondary antibody and visualized using an HRP conjugated SP system.
Immunofluorescence staining of Hela cells with PBX1 Antibody at 1:100, counter-stained with DAPI. The cells were fixed in 4% formaldehyde, permeabilized using 0.2% Triton X-100 and blocked in 10% normal Goat Serum. The cells were then incubated with the antibody overnight at 4°C. The secondary antibody was Alexa Fluor 488-congugated AffiniPure Goat Anti-Rabbit IgG(H+L).
Rabbit anti-Human PBX1 Polyclonal Antibody
Beta LifeScience
SKU/CAT #: BLC-00786A
Our products are highly customizable to meet your specific needs. You can choose options such as endotoxin removal, liquid or lyophilized forms, preferred tags, and the desired functional sequence range for proteins. Submitting a written inquiry expedites the quoting process.
Product Overview
| Product Title | Rabbit anti-Human PBX1 Polyclonal Antibody |
| Description | The antibody against PBX1 was raised in rabbit using the Recombinant Human Pre-B-cell leukemia transcription factor 1 protein (315-430AA) as the immunogen. This antibody exists as a non-conjugated isotype IgG, purified by protein G with a purity greater than 95%. This antibody has been validated on ELISA, WB, IHC, IF. |
| Uniprot Id - Alink | P40424 |
| Host Species | Rabbit |
| Reactivity | Human, Rat |
| Target Name | PBX1 |
| Target Synonyms | DKFZp686B09108 antibody; Homeo box protein PBX1 antibody; Homeo box protein PRL antibody; Homeobox protein PBX 1 antibody; Homeobox protein PBX1 antibody; Homeobox protein PRL antibody; MGC126627 antibody; PBX 1 antibody; Pbx1 antibody; PBX1_HUMAN antibody; Pre B cell leukemia homeobox 1 antibody; Pre B cell leukemia transcription factor 1 antibody; Pre-B-cell leukemia transcription factor 1 antibody; PRL antibody |
| Immunogen Description | Recombinant Human Pre-B-cell leukemia transcription factor 1 protein (315-430AA) |
| Immunogen Species | Human |
| Immunogen Sequence | Complete sequences for the immunogen, target protein, and peptides are available upon request. |
| Conjugate | Non-conjugated |
| Clonality | Polyclonal |
| Isotype | IgG |
| Purification Method | >95%, Protein G purified |
| Buffer | 0.03% Proclin 300Constituents: 50% Glycerol, 0.01M PBS, pH 7.4 |
| Form | Liquid |
| Application | ELISA, WB, IHC, IF |
| Storage Conditions | Upon receipt, store at -20°C or -80°C. Avoid repeated freeze. |
