Rabbit anti-Human PADI2 Polyclonal Antibody
Beta LifeScience
SKU/CAT #: BLC-05968A
Western Blot | Positive WB detected in: K562 whole cell lysate | All lanes: PADI2 antibody at 3μg/ml | Secondary | Goat polyclonal to rabbit IgG at 1/50000 dilution | Predicted band size: 76, 50 kDa | Observed band size: 76, 50 kDa
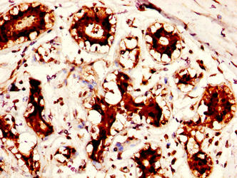
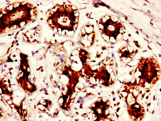
IHC image of PADI2 Antibody diluted at 1:300 and staining in paraffin-embedded human breast cancer performed on a Leica BondTM system. After dewaxing and hydration, antigen retrieval was mediated by high pressure in a citrate buffer (pH 6.0). Section was blocked with 10% normal goat serum 30min at RT. Then primary antibody (1% BSA) was incubated at 4°C overnight. The primary is detected by a biotinylated secondary antibody and visualized using an HRP conjugated SP system.
Immunofluorescence staining of Hela cells with PADI2 Antibody at 1:100, counter-stained with DAPI. The cells were fixed in 4% formaldehyde, permeabilized using 0.2% Triton X-100 and blocked in 10% normal Goat Serum. The cells were then incubated with the antibody overnight at 4°C. The secondary antibody was Alexa Fluor 488-congugated AffiniPure Goat Anti-Rabbit IgG(H+L).
Rabbit anti-Human PADI2 Polyclonal Antibody
Beta LifeScience
SKU/CAT #: BLC-05968A
Our products are highly customizable to meet your specific needs. You can choose options such as endotoxin removal, liquid or lyophilized forms, preferred tags, and the desired functional sequence range for proteins. Submitting a written inquiry expedites the quoting process.
Product Overview
| Product Title | Rabbit anti-Human PADI2 Polyclonal Antibody |
| Description | The antibody against PADI2 was raised in rabbit using the Recombinant Human Protein-arginine deiminase type-2 protein (1-665AA) as the immunogen. This antibody exists as a non-conjugated isotype IgG, purified by protein G with a purity greater than 95%. This antibody has been validated on ELISA, WB, IHC, IF. |
| Uniprot Id - Alink | Q9Y2J8 |
| Host Species | Rabbit |
| Reactivity | Human |
| Target Name | PADI2 |
| Target Synonyms | KIAA0994 antibody; OTTHUMP00000044625 antibody; PAD 2 antibody; PAD H19 antibody; PAD-H19 antibody; PAD2 antibody; PADI 2 antibody; Padi2 antibody; PADI2 protein antibody; PADI2_HUMAN antibody; PDI 2 antibody; PDI2 antibody; Peptidlyarginine deiminase type II antibody; Peptidyl arginine deiminase II antibody; Peptidyl arginine deiminase type II antibody; Peptidylarginine deiminase II antibody; Protein arginine deiminase antibody; Protein arginine deiminase type 2 antibody; Protein arginine deiminase type II antibody; Protein-arginine deiminase type II antibody; Protein-arginine deiminase type-2 antibody |
| Immunogen Description | Recombinant Human Protein-arginine deiminase type-2 protein (1-665AA) |
| Immunogen Species | Human |
| Immunogen Sequence | Complete sequences for the immunogen, target protein, and peptides are available upon request. |
| Conjugate | Non-conjugated |
| Clonality | Polyclonal |
| Isotype | IgG |
| Purification Method | >95%, Protein G purified |
| Buffer | 0.03% Proclin 300Constituents: 50% Glycerol, 0.01M PBS, PH 7.4 |
| Form | Liquid |
| Application | ELISA, WB, IHC, IF |
| Storage Conditions | Upon receipt, store at -20°C or -80°C. Avoid repeated freeze. |
