Rabbit anti-Human NQO2 Polyclonal Antibody
Beta LifeScience
SKU/CAT #: BLC-00978A
Western Blot | Positive WB detected in: K562 whole cell lysate, Mouse liver tissue | All lanes: NQO2 antibody at 3μg/ml | Secondary | Goat polyclonal to rabbit IgG at 1/50000 dilution | Predicted band size: 26 kDa | Observed band size: 26 kDa
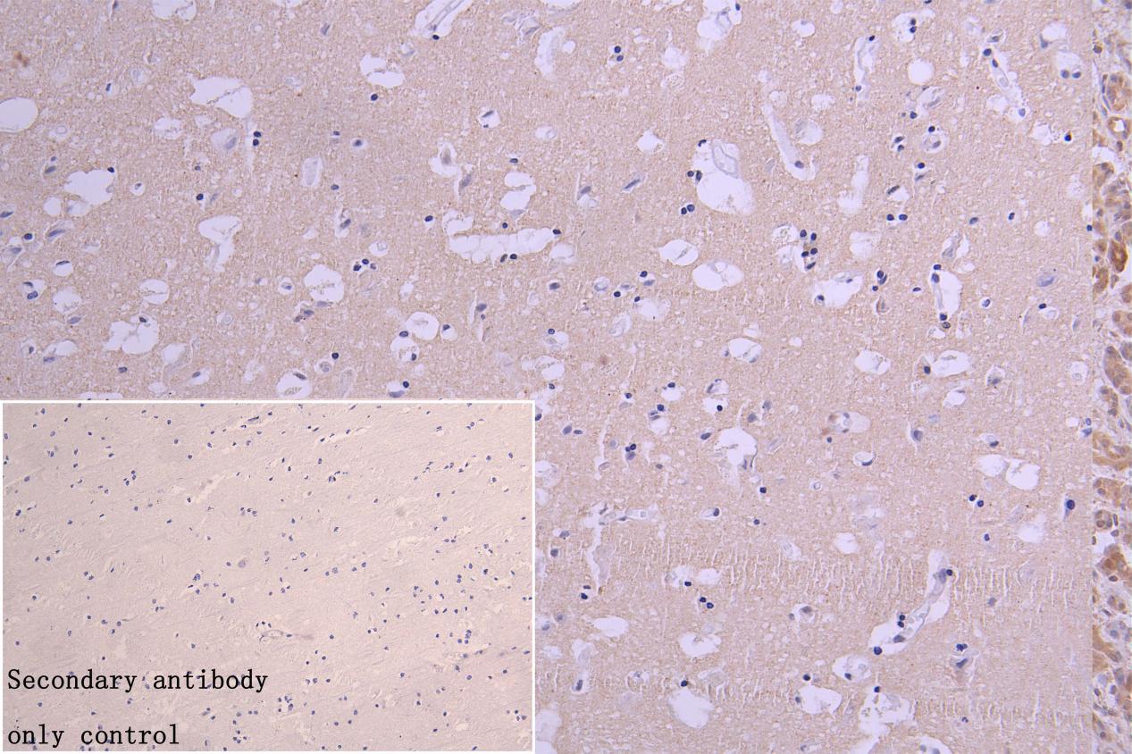
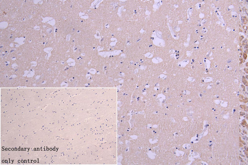
Immunohistochemistry of paraffin-embedded human brain tissue using NQO2 Antibody at dilution of 1:100
Immunofluorescent analysis of Hela cells using NQO2 Antibody at dilution of 1:100 and Alexa Fluor 488-congugated AffiniPure Goat Anti-Rabbit IgG(H+L)
Rabbit anti-Human NQO2 Polyclonal Antibody
Beta LifeScience
SKU/CAT #: BLC-00978A
Our products are highly customizable to meet your specific needs. You can choose options such as endotoxin removal, liquid or lyophilized forms, preferred tags, and the desired functional sequence range for proteins. Submitting a written inquiry expedites the quoting process.
Product Overview
| Product Title | Rabbit anti-Human NQO2 Polyclonal Antibody |
| Description | The antibody against NQO2 was raised in rabbit using the Recombinant Human Ribosyldihydronicotinamide dehydrogenase [quinone] protein (1-231AA) as the immunogen. This antibody exists as a non-conjugated isotype IgG, purified by protein G with a purity greater than 95%. This antibody has been validated on ELISA, WB, IHC, IF, IP. |
| Uniprot Id - Alink | P16083 |
| Host Species | Rabbit |
| Reactivity | Human, Mouse |
| Target Name | NQO2 |
| Target Synonyms | DHQV antibody; DIA6 antibody; EC 1.10.99.2 antibody; MGC94180 antibody; NAD(P)H dehydrogenase quinone 2 antibody; NAD(P)H menadione oxidoreductase 1 dioxin inducible 2 antibody; NAD(P)H menadione oxidoreductase 2 dioxin inducible antibody; NMOR2 antibody; NQO 2 antibody; NQO2 antibody; NQO2_HUMAN antibody; NRH dehydrogenase [quinone] 2 antibody; NRH dehydrogenase antibody; NRH:quinone oxidoreductase 2 antibody; OTTHUMP00000015948 antibody; OTTHUMP00000015949 antibody; OTTHUMP00000015953 antibody; Ox 2 antibody; Ox2 antibody; QR2 antibody; Quinone antibody; Quinone reductase 2 antibody; Ribosyldihydronicotinamide dehydrogenase [quinone] antibody; Ribosyldihydronicotinamide dehydrogenase antibody |
| Immunogen Description | Recombinant Human Ribosyldihydronicotinamide dehydrogenase [quinone] protein (1-231AA) |
| Immunogen Species | Human |
| Immunogen Sequence | Complete sequences for the immunogen, target protein, and peptides are available upon request. |
| Conjugate | Non-conjugated |
| Clonality | Polyclonal |
| Isotype | IgG |
| Purification Method | >95%, Protein G purified |
| Buffer | 0.03% Proclin 300Constituents: 50% Glycerol, 0.01M PBS, pH 7.4 |
| Form | Liquid |
| Application | ELISA, WB, IHC, IF, IP |
| Storage Conditions | Upon receipt, store at -20°C or -80°C. Avoid repeated freeze. |
