Rabbit anti-Human MAPT Polyclonal Antibody
Beta LifeScience
SKU/CAT #: BLC-05611A
Western blot analysis of extracts from mouse brain tissue using Tau(Phospho-Ser262) Antibody and the same antibody preincubated with blocking peptide.
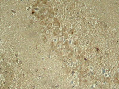
Immunohistochemical analysis of paraffin-embedded rat hippocampal region tissue from a model with Alzheimer
Immunofluorescence staining of methanol-fixed Hela cells using Tau(Phospho-Ser262) Antibody.
Rabbit anti-Human MAPT Polyclonal Antibody
Beta LifeScience
SKU/CAT #: BLC-05611A
Our products are highly customizable to meet your specific needs. You can choose options such as endotoxin removal, liquid or lyophilized forms, preferred tags, and the desired functional sequence range for proteins. Submitting a written inquiry expedites the quoting process.
Product Overview
| Product Title | Rabbit anti-Human MAPT Polyclonal Antibody |
| Description | The antibody against MAPT was raised in rabbit using the Peptide sequence around phosphorylation site of serine 262 (I-G-S(p)-T-E) derived from Human Tau. as the immunogen. Antibodies were produced by immunizing rabbits with synthetic phosphopeptide and KLH conjugates. Antibodies were purified by affinity-chromatography using epitope-specific phosphopeptide. Non-phospho specific antibodies were removed by chromatogramphy usi This antibody has been validated on ELISA, WB, IHC, IF. |
| Uniprot Id - Alink | P10636 |
| Host Species | Rabbit |
| Reactivity | Human, Mouse, Rat |
| Target Name | MAPT |
| Target Synonyms | AI413597 antibody; AW045860 antibody; DDPAC antibody; FLJ31424 antibody; FTDP 17 antibody; G protein beta1/gamma2 subunit interacting factor 1 antibody; MAPT antibody; MAPTL antibody; MGC134287 antibody; MGC138549 antibody; MGC156663 antibody; Microtubule associated protein tau antibody; Microtubule associated protein tau isoform 4 antibody; Microtubule-associated protein tau antibody; MSTD antibody; Mtapt antibody; MTBT1 antibody; MTBT2 antibody; Neurofibrillary tangle protein antibody; Paired helical filament tau antibody; Paired helical filament-tau antibody; PHF tau antibody; PHF-tau antibody; PPND antibody; PPP1R103 antibody; Protein phosphatase 1, regulatory subunit 103 antibody; pTau antibody; RNPTAU antibody; TAU antibody; TAU_HUMAN antibody; Tauopathy and respiratory failure antibody; Tauopathy and respiratory failure, included antibody |
| Immunogen Description | Peptide sequence around phosphorylation site of serine 262 (I-G-S(p)-T-E) derived from Human Tau. |
| Immunogen Species | Human |
| Immunogen Sequence | Complete sequences for the immunogen, target protein, and peptides are available upon request. |
| Clonality | Polyclonal |
| Purification Method | Antibodies were produced by immunizing rabbits with synthetic phosphopeptide and KLH conjugates. Antibodies were purified by affinity-chromatography using epitope-specific phosphopeptide. Non-phospho specific antibodies were removed by chromatogramphy usi |
| Buffer | Supplied at 1.0mg/mL in phosphate buffered saline (without Mg2+ and Ca2+), pH 7.4, 150mM NaCl, 0.02% sodium azide and 50% glycerol. |
| Form | Liquid |
| Application | ELISA, WB, IHC, IF |
| Storage Conditions | Upon receipt, store at -20°C or -80°C. Avoid repeated freeze. |
