Rabbit anti-Human KLHL20 Polyclonal Antibody
Beta LifeScience
SKU/CAT #: BLC-00331A
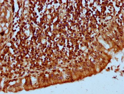
IHC image of the antibody diluted at 1:300 and staining in paraffin-embedded human brain tissue performed on a Leica BondTM system. After dewaxing and hydration, antigen retrieval was mediated by high pressure in a citrate buffer (pH 6.0). Section was blocked with 10% normal goat serum 30min at RT. Then primary antibody (1% BSA) was incubated at 4°C overnight. The primary is detected by a biotinylated secondary antibody and visualized using an HRP conjugated SP system.
IHC image of KLHL20 Antibody diluted at 1:300 and staining in paraffin-embedded human lung tissue performed on a Leica BondTM system. After dewaxing and hydration, antigen retrieval was mediated by high pressure in a citrate buffer (pH 6.0). Section was blocked with 10% normal goat serum 30min at RT. Then primary antibody (1% BSA) was incubated at 4°C overnight. The primary is detected by a biotinylated secondary antibody and visualized using an HRP conjugated SP system.
Immunofluorescence staining of Hela cells with KLHL20 Antibody at 1:100, counter-stained with DAPI. The cells were fixed in 4% formaldehyde, permeabilized using 0.2% Triton X-100 and blocked in 10% normal Goat Serum. The cells were then incubated with the antibody overnight at 4°C. The secondary antibody was Alexa Fluor 488-congugated AffiniPure Goat Anti-Rabbit IgG(H+L).
Rabbit anti-Human KLHL20 Polyclonal Antibody
Beta LifeScience
SKU/CAT #: BLC-00331A
Our products are highly customizable to meet your specific needs. You can choose options such as endotoxin removal, liquid or lyophilized forms, preferred tags, and the desired functional sequence range for proteins. Submitting a written inquiry expedites the quoting process.
Product Overview
| Product Title | Rabbit anti-Human KLHL20 Polyclonal Antibody |
| Description | The antibody against KLHL20 was raised in rabbit using the Recombinant Human Kelch-like protein 20 protein (1-200AA) as the immunogen. This antibody exists as a non-conjugated isotype IgG, purified by protein G with a purity greater than 95%. This antibody has been validated on ELISA, IHC, IF. |
| Uniprot Id - Alink | Q9Y2M5 |
| Host Species | Rabbit |
| Reactivity | Human |
| Target Name | KLHL20 |
| Target Synonyms | Kelch like ECT2 interacting protein antibody; Kelch like protein 20 antibody; Kelch like protein X antibody; Kelch motif containing protein antibody; Kelch-like ECT2-interacting protein antibody; Kelch-like protein 20 antibody; Kelch-like protein X antibody; KHLHX antibody; KLEIP antibody; KLH20_HUMAN antibody; KLHL20 antibody; KLHLX antibody; RP3-383J4.3 antibody |
| Immunogen Description | Recombinant Human Kelch-like protein 20 protein (1-200AA) |
| Immunogen Species | Human |
| Immunogen Sequence | Complete sequences for the immunogen, target protein, and peptides are available upon request. |
| Conjugate | Non-conjugated |
| Clonality | Polyclonal |
| Isotype | IgG |
| Purification Method | >95%, Protein G purified |
| Buffer | 0.03% Proclin 300Constituents: 50% Glycerol, 0.01M PBS, pH 7.4 |
| Form | Liquid |
| Application | ELISA, IHC, IF |
| Storage Conditions | Upon receipt, store at -20°C or -80°C. Avoid repeated freeze. |
