Rabbit anti-Human IGFBP1 Polyclonal Antibody
Beta LifeScience
SKU/CAT #: BLC-03694A
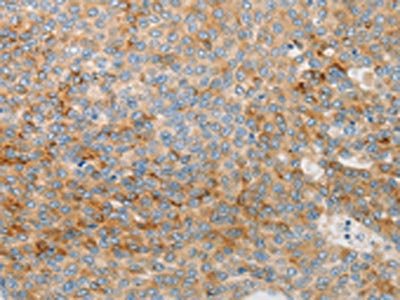
The image on the left is immunohistochemistry of paraffin-embedded Human liver cancer tissue using the antibody Antibody) at dilution 1/30, on the right is treated with synthetic peptide. (Original magnification: ×200)
The image on the left is immunohistochemistry of paraffin-embedded Human colon cancer tissue using IGFBP1 Antibody(IGFBP1 Antibody) at dilution 1/30, on the right is treated with synthetic peptide. (Original magnification: ×200)
Gel: 10%SDS-PAGE, Lysate: 30 μg, Lane: Mouse liver tissue, Primary antibody: IGFBP1 Antibody(IGFBP1 Antibody) at dilution 1/550, Secondary antibody: Goat anti rabbit IgG at 1/8000 dilution, Exposure time: 1 minute
Rabbit anti-Human IGFBP1 Polyclonal Antibody
Beta LifeScience
SKU/CAT #: BLC-03694A
Our products are highly customizable to meet your specific needs. You can choose options such as endotoxin removal, liquid or lyophilized forms, preferred tags, and the desired functional sequence range for proteins. Submitting a written inquiry expedites the quoting process.
Product Overview
| Product Title | Rabbit anti-Human IGFBP1 Polyclonal Antibody |
| Description | The antibody against IGFBP1 was raised in rabbit using the Synthetic peptide of Human IGFBP1 as the immunogen. This antibody exists as a non-conjugated isotype IgG, Antigen affinity purified. This antibody has been validated on ELISA, WB, IHC. |
| Uniprot Id - Alink | P08833 |
| Host Species | Rabbit |
| Reactivity | Human, Mouse |
| Target Name | IGFBP1 |
| Target Synonyms | AFBP antibody; Alpha pregnancy associated endometrial globulin antibody; Amniotic fluid binding protein antibody; Binding protein 25 antibody; Binding protein 26 antibody; Binding protein 28 antibody; Growth hormone independent binding protein antibody; hIGFBP 1 antibody; hIGFBP1 antibody; IBP 1 antibody; IBP-1 antibody; IBP1 antibody; IBP1_HUMAN antibody; IGF binding protein 1 antibody; IGF BP25 antibody; IGF-binding protein 1 antibody; IGFBP 1 antibody; IGFBP-1 antibody; IGFBP1 antibody; Insulin like growth factor binding protein 1 antibody; Insulin-like growth factor-binding protein 1 antibody; Placental protein 12 antibody; PP 12 antibody; PP12 antibody |
| Immunogen Description | Synthetic peptide of Human IGFBP1 |
| Immunogen Species | Human |
| Immunogen Sequence | Complete sequences for the immunogen, target protein, and peptides are available upon request. |
| Conjugate | Non-conjugated |
| Clonality | Polyclonal |
| Isotype | IgG |
| Purification Method | Antigen affinity purified |
| Buffer | pH7.4 PBS, 0.05% NaN3, 40% Glycerol |
| Form | Liquid |
| Application | ELISA, WB, IHC |
| Storage Conditions | Upon receipt, store at -20°C or -80°C. Avoid repeated freeze. |
