Rabbit anti-Human GRB14 Polyclonal Antibody
Beta LifeScience
SKU/CAT #: BLC-00802A
IHC image of the antibody diluted at 1:100 and staining in paraffin-embedded human cervical cancer performed on a Leica BondTM system. After dewaxing and hydration, antigen retrieval was mediated by high pressure in a citrate buffer (pH 6.0). Section was blocked with 10% normal goat serum 30min at RT. Then primary antibody (1% BSA) was incubated at 4°C overnight. The primary is detected by a biotinylated secondary antibody and visualized using an HRP conjugated SP system.
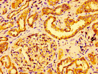
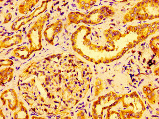
IHC image of GRB14 Antibody diluted at 1:100 and staining in paraffin-embedded human kidney tissue performed on a Leica BondTM system. After dewaxing and hydration, antigen retrieval was mediated by high pressure in a citrate buffer (pH 6.0). Section was blocked with 10% normal goat serum 30min at RT. Then primary antibody (1% BSA) was incubated at 4°C overnight. The primary is detected by a biotinylated secondary antibody and visualized using an HRP conjugated SP system.
Immunofluorescence staining of A549 cells with GRB14 Antibody at 1:100, counter-stained with DAPI. The cells were fixed in 4% formaldehyde, permeabilized using 0.2% Triton X-100 and blocked in 10% normal Goat Serum. The cells were then incubated with the antibody overnight at 4°C. The secondary antibody was Alexa Fluor 488-congugated AffiniPure Goat Anti-Rabbit IgG(H+L).
Rabbit anti-Human GRB14 Polyclonal Antibody
Beta LifeScience
SKU/CAT #: BLC-00802A
Our products are highly customizable to meet your specific needs. You can choose options such as endotoxin removal, liquid or lyophilized forms, preferred tags, and the desired functional sequence range for proteins. Submitting a written inquiry expedites the quoting process.
Product Overview
| Product Title | Rabbit anti-Human GRB14 Polyclonal Antibody |
| Description | The antibody against GRB14 was raised in rabbit using the Recombinant Human Growth factor receptor-bound protein 14 protein (294-397AA) as the immunogen. This antibody exists as a non-conjugated isotype IgG, purified by protein G with a purity greater than 95%. This antibody has been validated on ELISA, IHC, IF. |
| Uniprot Id - Alink | Q14449 |
| Host Species | Rabbit |
| Reactivity | Human |
| Target Name | GRB14 |
| Target Synonyms | GRB14Growth factor receptor-bound protein 14 antibody; GRB14 adapter protein antibody |
| Immunogen Description | Recombinant Human Growth factor receptor-bound protein 14 protein (294-397AA) |
| Immunogen Species | Human |
| Immunogen Sequence | Complete sequences for the immunogen, target protein, and peptides are available upon request. |
| Conjugate | Non-conjugated |
| Clonality | Polyclonal |
| Isotype | IgG |
| Purification Method | >95%, Protein G purified |
| Buffer | 0.03% Proclin 300Constituents: 50% Glycerol, 0.01M PBS, pH 7.4 |
| Form | Liquid |
| Application | ELISA, IHC, IF |
| Storage Conditions | Upon receipt, store at -20°C or -80°C. Avoid repeated freeze. |
