Rabbit anti-Human CYP27A1 Polyclonal Antibody
Beta LifeScience
SKU/CAT #: BLC-04190A
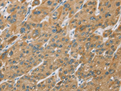
The image on the left is immunohistochemistry of paraffin-embedded Human liver cancer tissue using the antibody Antibody) at dilution 1/25, on the right is treated with fusion protein. (Original magnification: ×200)
The image on the left is immunohistochemistry of paraffin-embedded Human thyroid cancer tissue using CYP27A1 Antibody(CYP27A1 Antibody) at dilution 1/25, on the right is treated with fusion protein. (Original magnification: ×200)
Gel: 6%SDS-PAGE, Lysate: 40 μg, Lane 1-2: Mouse liver tissue, human fetal liver tissue, Primary antibody: CYP27A1 Antibody(CYP27A1 Antibody) at dilution 1/200, Secondary antibody: Goat anti rabbit IgG at 1/8000 dilution, Exposure time: 7 minutes
Rabbit anti-Human CYP27A1 Polyclonal Antibody
Beta LifeScience
SKU/CAT #: BLC-04190A
Our products are highly customizable to meet your specific needs. You can choose options such as endotoxin removal, liquid or lyophilized forms, preferred tags, and the desired functional sequence range for proteins. Submitting a written inquiry expedites the quoting process.
Product Overview
| Product Title | Rabbit anti-Human CYP27A1 Polyclonal Antibody |
| Description | The antibody against CYP27A1 was raised in rabbit using the Fusion protein of Human CYP27A1 as the immunogen. This antibody exists as a non-conjugated isotype IgG, Antigen affinity purified. This antibody has been validated on ELISA, WB, IHC. |
| Uniprot Id - Alink | Q02318 |
| Host Species | Rabbit |
| Reactivity | Human, Mouse |
| Target Name | CYP27A1 |
| Target Synonyms | 12-alpha-triol 27-hydroxylase antibody; 5-beta-cholestane-3-alpha antibody; 5-beta-cholestane-3-alpha; 7-alpha; 12-alpha-triol 26-hydroxylase antibody; 5-beta-cholestane-3-alpha; 7-alpha; 12-alpha-triol 27-hydroxylase antibody; 5-beta-cholestane-3-alpha,7-alpha,12-alpha-triol 27-hydroxylase antibody; 7-alpha antibody; Cholestanetriol 26 monooxygenase antibody; CP27 antibody; CP27A_HUMAN antibody; CTX antibody; CYP antibody; CYP27 antibody; CYP27A1 antibody; Cytochrome P 450C27/25 antibody; Cytochrome P-450C27/25 antibody; Cytochrome P450 27 antibody; Cytochrome P450 27 mitochondrial antibody; Cytochrome P450 family 27 subfamily A member 1 antibody; Cytochrome P450 family 27 subfamily A polypeptide 1 antibody; Cytochrome P450 subfamily XXVIIA (steroid 27-hydroxylase cerebrotendinous xanthomatosis) polypeptide 1 antibody; mitochondrial antibody; Sterol 26 hydroxylase antibody; Sterol 26 hydroxylase mitochondrial antibody; Sterol 26-hydroxylase antibody; Sterol 27 hydroxylase antibody; Sterol 27-hydroxylase antibody; Vitamin D(3) 25 hydroxylase antibody; Vitamin D(3) 25-hydroxylase antibody |
| Immunogen Description | Fusion protein of Human CYP27A1 |
| Immunogen Species | Human |
| Immunogen Sequence | Complete sequences for the immunogen, target protein, and peptides are available upon request. |
| Conjugate | Non-conjugated |
| Clonality | Polyclonal |
| Isotype | IgG |
| Purification Method | Antigen affinity purified |
| Buffer | pH7.4 PBS, 0.05% NaN3, 40% Glycerol |
| Form | Liquid |
| Application | ELISA, WB, IHC |
| Storage Conditions | Upon receipt, store at -20°C or -80°C. Avoid repeated freeze. |
