Rabbit anti-Human BCAP31 Polyclonal Antibody
Beta LifeScience
            SKU/CAT #: BLC-04282A
          
      
 
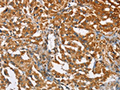
    The image on the left is immunohistochemistry of paraffin-embedded Human gastic cancer tissue using the antibody Antibody) at dilution 1/30, on the right is treated with fusion protein. (Original magnification: ×200)
  
 
    The image on the left is immunohistochemistry of paraffin-embedded Human thyroid cancer tissue using BCAP31 Antibody(BCAP31 Antibody) at dilution 1/30, on the right is treated with fusion protein. (Original magnification: ×200)
  
 
    Gel: 10%SDS-PAGE, Lysate: 40 μg, Lane 1-4: Human placenta tissue, A549 cells, Raji cells, hela cells, Primary antibody: BCAP31 Antibody(BCAP31 Antibody) at dilution 1/750, Secondary antibody: Goat anti rabbit IgG at 1/8000 dilution, Exposure time: 1 second
  
Rabbit anti-Human BCAP31 Polyclonal Antibody
Beta LifeScience
            SKU/CAT #: BLC-04282A
          
            
                      Our products are highly customizable to meet your specific needs. You can choose options such as endotoxin removal, liquid or lyophilized forms, preferred tags, and the desired functional sequence range for proteins. Submitting a written inquiry expedites the quoting process.
                    
Product Overview
| Product Title | Rabbit anti-Human BCAP31 Polyclonal Antibody | 
| Description | The antibody against BCAP31 was raised in rabbit using the Fusion protein of Human BCAP31 as the immunogen. This antibody exists as a non-conjugated isotype IgG, Antigen affinity purified. This antibody has been validated on ELISA, WB, IHC. | 
| Uniprot Id - Alink | P51572 | 
| Host Species | Rabbit | 
| Reactivity | Human, Mouse | 
| Target Name | BCAP31 | 
| Target Synonyms | 6C6 AG antibody; 6C6 AG tumor associated antigen antibody; 6C6-AG tumor-associated antigen antibody; 6C6AG antibody; 6C6AG tumor associated antigen antibody; Accessory protein BAP 31 antibody; Accessory protein BAP31 antibody; B cell receptor associated protein 31 antibody; B-cell receptor-associated protein 31 antibody; BA31 antibody; BAP 31 antibody; Bap31 antibody; BAP31_HUMAN antibody; BCAP 31 antibody; BCAP31 antibody; BCR associated protein Bap 31 antibody; BCR associated protein Bap31 antibody; BCR-associated protein 31 antibody; CDM antibody; CDM protein antibody; DXS1357E antibody; MS950 antibody; p28 antibody; p28 Bap31 antibody; Protein CDM antibody; RP23-329M9.5 antibody | 
| Immunogen Description | Fusion protein of Human BCAP31 | 
| Immunogen Species | Human | 
| Immunogen Sequence | Complete sequences for the immunogen, target protein, and peptides are available upon request. | 
| Conjugate | Non-conjugated | 
| Clonality | Polyclonal | 
| Isotype | IgG | 
| Purification Method | Antigen affinity purified | 
| Buffer | pH7.4 PBS, 0.05% NaN3, 40% Glycerol | 
| Form | Liquid | 
| Application | ELISA, WB, IHC | 
| Storage Conditions | Upon receipt, store at -20°C or -80°C. Avoid repeated freeze. | 
        
      
          
        