Rabbit anti-Human B3GAT1 Polyclonal Antibody
Beta LifeScience
            SKU/CAT #: BLC-03376A
          
      
 
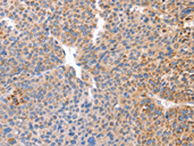
    The image on the left is immunohistochemistry of paraffin-embedded Human liver cancer tissue using the antibody Antibody) at dilution 1/50, on the right is treated with synthetic peptide. (Original magnification: ×200)
  
 
    The image on the left is immunohistochemistry of paraffin-embedded Human thyroid cancer tissue using B3GAT1 Antibody(B3GAT1 Antibody) at dilution 1/50, on the right is treated with synthetic peptide. (Original magnification: ×200)
  
 
    Gel: 10%SDS-PAGE, Lysate: 40 μg, Lane: Human chromaffin cell tumor tissue, Primary antibody: B3GAT1 Antibody(B3GAT1 Antibody) at dilution 1/600, Secondary antibody: Goat anti rabbit IgG at 1/8000 dilution, Exposure time: 3 minutes
  
Rabbit anti-Human B3GAT1 Polyclonal Antibody
Beta LifeScience
            SKU/CAT #: BLC-03376A
          
            
                      Our products are highly customizable to meet your specific needs. You can choose options such as endotoxin removal, liquid or lyophilized forms, preferred tags, and the desired functional sequence range for proteins. Submitting a written inquiry expedites the quoting process.
                    
Product Overview
| Product Title | Rabbit anti-Human B3GAT1 Polyclonal Antibody | 
| Description | The antibody against B3GAT1 was raised in rabbit using the Synthetic peptide of Human B3GAT1 as the immunogen. This antibody exists as a non-conjugated isotype IgG, Antigen affinity purified. This antibody has been validated on ELISA, WB, IHC. | 
| Uniprot Id - Alink | Q9P2W7 | 
| Host Species | Rabbit | 
| Reactivity | Human, Mouse, Rat | 
| Target Name | B3GAT1 | 
| Target Synonyms | 3-glucuronyltransferase 1 antibody; 3-glucuronyltransferase antibody; B3GA1_HUMAN antibody; B3gat1 antibody; Beta 1 3 glucuronyltransferase 1 antibody; Beta-1 antibody; Beta-1,3-glucuronyltransferase 1 antibody; CD 57 antibody; CD57 antibody; CD57 antigen antibody; Galactosylgalactosylxylosylprotein 3 beta glucuronosyltransferase 1 antibody; Galactosylgalactosylxylosylprotein 3-beta-glucuronosyltransferase 1 antibody; GlcAT P antibody; GlcAT-P antibody; GLCATP antibody; GlcUAT P antibody; GlcUAT-P antibody; GlcUATP antibody; Glucuronosyltransferase P antibody; HNK 1 antibody; HNK1 antibody; LEU 7 antibody; LEU7 antibody; LEU7 antigen antibody; NK 1 antibody; NK1 antibody; UDP GlcUA glycoprotein beta 1 3 glucuronyltransferase antibody; UDP-GlcUA:glycoprotein beta-1 antibody | 
| Immunogen Description | Synthetic peptide of Human B3GAT1 | 
| Immunogen Species | Human | 
| Immunogen Sequence | Complete sequences for the immunogen, target protein, and peptides are available upon request. | 
| Conjugate | Non-conjugated | 
| Clonality | Polyclonal | 
| Isotype | IgG | 
| Purification Method | Antigen affinity purified | 
| Buffer | pH7.4 PBS, 0.05% NaN3, 40% Glycerol | 
| Form | Liquid | 
| Application | ELISA, WB, IHC | 
| Storage Conditions | Upon receipt, store at -20°C or -80°C. Avoid repeated freeze. | 
        
      
          
        