Rabbit anti-Human APPL1 Polyclonal Antibody
Beta LifeScience
SKU/CAT #: BLC-04794A
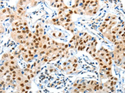
The image on the left is immunohistochemistry of paraffin-embedded Human esophagus cancer tissue using the antibody Antibody) at dilution 1/70, on the right is treated with fusion protein. (Original magnification: ×200)
The image on the left is immunohistochemistry of paraffin-embedded Human lung cancer tissue using APPL1 Antibody(APPL1 Antibody) at dilution 1/70, on the right is treated with fusion protein. (Original magnification: ×200)
Gel: 10%SDS-PAGE, Lysate: 40 μg, Lane: A172 cells, Primary antibody: APPL1 Antibody(APPL1 Antibody) at dilution 1/600, Secondary antibody: Goat anti rabbit IgG at 1/8000 dilution, Exposure time: 40 seconds
Rabbit anti-Human APPL1 Polyclonal Antibody
Beta LifeScience
SKU/CAT #: BLC-04794A
Our products are highly customizable to meet your specific needs. You can choose options such as endotoxin removal, liquid or lyophilized forms, preferred tags, and the desired functional sequence range for proteins. Submitting a written inquiry expedites the quoting process.
Product Overview
| Product Title | Rabbit anti-Human APPL1 Polyclonal Antibody |
| Description | The antibody against APPL1 was raised in rabbit using the Fusion protein of Human APPL1 as the immunogen. This antibody exists as a non-conjugated isotype IgG, Antigen affinity purified. This antibody has been validated on ELISA, WB, IHC. |
| Uniprot Id - Alink | Q9UKG1 |
| Host Species | Rabbit |
| Reactivity | Human, Mouse |
| Target Name | APPL1 |
| Target Synonyms | Adapter protein containing PH domain antibody; Adaptor Protein Containing pH Domain antibody; Adaptor protein containing pH domain PTB domain and leucine zipper motif 1 antibody; Adaptor protein containing pH domain PTB domain and leucine zipper motif antibody; Adaptor protein phosphotyrosine interacting with PH domain and leucine zipper 1 antibody; AKT2 INTERACTOR antibody; APPL 1 antibody; Appl1 antibody; DCC interacting protein 13 alpha antibody; DCC-interacting protein 13-alpha antibody; DIP 13 alpha antibody; DIP13 alpha antibody; Dip13-alpha antibody; DIP13alpha antibody; DP13A_HUMAN antibody; KIAA1428 antibody; PTB domain and leucine zipper motif 1 antibody; PTB Domain and Leucine Zipper Motif antibody; Signaling adaptor protein DIP13alpha antibody |
| Immunogen Description | Fusion protein of Human APPL1 |
| Immunogen Species | Human |
| Immunogen Sequence | Complete sequences for the immunogen, target protein, and peptides are available upon request. |
| Conjugate | Non-conjugated |
| Clonality | Polyclonal |
| Isotype | IgG |
| Purification Method | Antigen affinity purified |
| Buffer | pH7.4 PBS, 0.05% NaN3, 40% Glycerol |
| Form | Liquid |
| Application | ELISA, WB, IHC |
| Storage Conditions | Upon receipt, store at -20°C or -80°C. Avoid repeated freeze. |
