Rabbit anti-Human ANXA6 Polyclonal Antibody
Beta LifeScience
SKU/CAT #: BLC-04816A
The image on the left is immunohistochemistry of paraffin-embedded Human breast cancer tissue using the antibody Antibody) at dilution 1/17, on the right is treated with fusion protein. (Original magnification: ×200)
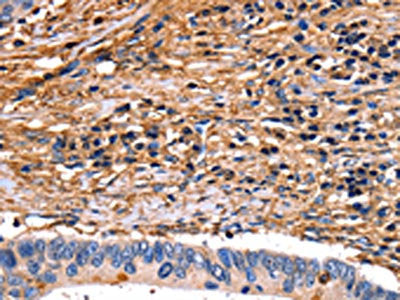
The image on the left is immunohistochemistry of paraffin-embedded Human colon cancer tissue using ANXA6 Antibody(ANXA6 Antibody) at dilution 1/17, on the right is treated with fusion protein. (Original magnification: ×200)
Gel: 8%SDS-PAGE, Lysate: 30 μg, Lane: 293T cells, Primary antibody: ANXA6 Antibody(ANXA6 Antibody) at dilution 1/350, Secondary antibody: Goat anti rabbit IgG at 1/8000 dilution, Exposure time: 10 seconds
Rabbit anti-Human ANXA6 Polyclonal Antibody
Beta LifeScience
SKU/CAT #: BLC-04816A
Our products are highly customizable to meet your specific needs. You can choose options such as endotoxin removal, liquid or lyophilized forms, preferred tags, and the desired functional sequence range for proteins. Submitting a written inquiry expedites the quoting process.
Product Overview
| Product Title | Rabbit anti-Human ANXA6 Polyclonal Antibody |
| Description | The antibody against ANXA6 was raised in rabbit using the Fusion protein of Human ANXA6 as the immunogen. This antibody exists as a non-conjugated isotype IgG, Antigen affinity purified. This antibody has been validated on ELISA, WB, IHC. |
| Uniprot Id - Alink | P08133 |
| Host Species | Rabbit |
| Reactivity | Human, Mouse, Rat |
| Target Name | ANXA6 |
| Target Synonyms | 67 kDa calelectrin antibody; Annexin A6 antibody; Annexin VI antibody; Annexin VI p68 antibody; Annexin-6 antibody; AnnexinA6 antibody; AnnexinVI antibody; ANX 6 antibody; ANX A6 antibody; ANX6 antibody; ANXA 6 antibody; ANXA6 antibody; ANXA6_HUMAN antibody; Calcium binding protein p68 antibody; Calelectrin antibody; Calphobindin II antibody; Calphobindin-II antibody; CalphobindinII antibody; CBP 68 antibody; CBP68 antibody; Chromobindin 20 antibody; Chromobindin-20 antibody; Chromobindin20 antibody; CPB II antibody; CPB-II antibody; CPBII antibody; Lipocortin VI antibody; LipocortinVI antibody; p68 antibody; p70 antibody; Protein III antibody; ProteinIII antibody |
| Immunogen Description | Fusion protein of Human ANXA6 |
| Immunogen Species | Human |
| Immunogen Sequence | Complete sequences for the immunogen, target protein, and peptides are available upon request. |
| Conjugate | Non-conjugated |
| Clonality | Polyclonal |
| Isotype | IgG |
| Purification Method | Antigen affinity purified |
| Buffer | pH7.4 PBS, 0.05% NaN3, 40% Glycerol |
| Form | Liquid |
| Application | ELISA, WB, IHC |
| Storage Conditions | Upon receipt, store at -20°C or -80°C. Avoid repeated freeze. |
