Rabbit anti-Human ANXA5 Polyclonal Antibody
Beta LifeScience
SKU/CAT #: BLC-05966A
Western Blot | Positive WB detected in: Hela whole cell lysate, MCF-7 whole cell lysate, PC-3 whole cell lysate, HepG2 whole cell lysate, 293 whole cell lysate, K562 whole cell lysate, HL60 whole cell lysate, A549 whole cell lysate | All lanes: ANXA5 antibody at 1:3000 | Secondary | Goat polyclonal to rabbit IgG at 1/50000 dilution | Predicted band size: 36 kDa | Observed band size: 36 kDa
IHC image of ANXA5 Antibody diluted at 1:500 and staining in paraffin-embedded human prostate cancer performed on a Leica BondTM system. After dewaxing and hydration, antigen retrieval was mediated by high pressure in a citrate buffer (pH 6.0). Section was blocked with 10% normal goat serum 30min at RT. Then primary antibody (1% BSA) was incubated at 4°C overnight. The primary is detected by a biotinylated secondary antibody and visualized using an HRP conjugated SP system.
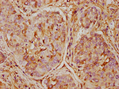
IHC image of ANXA5 Antibody diluted at 1:500 and staining in paraffin-embedded human liver cancer performed on a Leica BondTM system. After dewaxing and hydration, antigen retrieval was mediated by high pressure in a citrate buffer (pH 6.0). Section was blocked with 10% normal goat serum 30min at RT. Then primary antibody (1% BSA) was incubated at 4°C overnight. The primary is detected by a biotinylated secondary antibody and visualized using an HRP conjugated SP system.
Rabbit anti-Human ANXA5 Polyclonal Antibody
Beta LifeScience
SKU/CAT #: BLC-05966A
Our products are highly customizable to meet your specific needs. You can choose options such as endotoxin removal, liquid or lyophilized forms, preferred tags, and the desired functional sequence range for proteins. Submitting a written inquiry expedites the quoting process.
Product Overview
| Product Title | Rabbit anti-Human ANXA5 Polyclonal Antibody |
| Description | The antibody against ANXA5 was raised in rabbit using the Recombinant Human Annexin A5 protein (2-320AA) as the immunogen. This antibody exists as a non-conjugated isotype IgG, purified by protein G with a purity greater than 95%. This antibody has been validated on ELISA, WB, IHC. |
| Uniprot Id - Alink | P08758 |
| Host Species | Rabbit |
| Reactivity | Human |
| Target Name | ANXA5 |
| Target Synonyms | Anchorin CII antibody; Annexin 5 antibody; Annexin A5 antibody; Annexin V antibody; Annexin-5 antibody; Annexin5 antibody; AnnexinA5 antibody; AnnexinV antibody; ANX 5 antibody; ANX A5 antibody; ANX5 antibody; ANXA5 antibody; ANXA5_HUMAN antibody; Calphobindin I antibody; CBP-I antibody; Endonexin II antibody; ENX 2 antibody; ENX2 antibody; Lipocortin V antibody; PAP I antibody; PAP-I antibody; Placental anticoagulant protein 4 antibody; Placental anticoagulant protein I antibody; PLACENTAL PROTEIN 4 antibody; PP 4 antibody; Pp4 antibody; RPRGL3 antibody; Thromboplastin inhibitor antibody; VAC-alpha antibody; Vascular anticoagulant-alpha antibody |
| Immunogen Description | Recombinant Human Annexin A5 protein (2-320AA) |
| Immunogen Species | Human |
| Immunogen Sequence | Complete sequences for the immunogen, target protein, and peptides are available upon request. |
| Conjugate | Non-conjugated |
| Clonality | Polyclonal |
| Isotype | IgG |
| Purification Method | >95%, Protein G purified |
| Buffer | 0.03% Proclin 300Constituents: 50% Glycerol, 0.01M PBS, PH 7.4 |
| Form | Liquid |
| Application | ELISA, WB, IHC |
| Storage Conditions | Upon receipt, store at -20°C or -80°C. Avoid repeated freeze. |
