Rabbit anti-Human ALDH6A1 Polyclonal Antibody
Beta LifeScience
SKU/CAT #: BLC-04413A
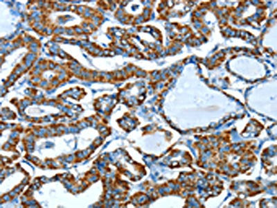
The image on the left is immunohistochemistry of paraffin-embedded Human thyroid cancer tissue using the antibody Antibody) at dilution 1/45, on the right is treated with fusion protein. (Original magnification: ×200)
The image on the left is immunohistochemistry of paraffin-embedded Human lung cancer tissue using ALDH6A1 Antibody(ALDH6A1 Antibody) at dilution 1/45, on the right is treated with fusion protein. (Original magnification: ×200)
Gel: 10%SDS-PAGE, Lysate: 40 μg, Lane: Rat kidney tissue, Primary antibody: ALDH6A1 Antibody(ALDH6A1 Antibody) at dilution 1/450, Secondary antibody: Goat anti rabbit IgG at 1/8000 dilution, Exposure time: 30 seconds
Rabbit anti-Human ALDH6A1 Polyclonal Antibody
Beta LifeScience
SKU/CAT #: BLC-04413A
Our products are highly customizable to meet your specific needs. You can choose options such as endotoxin removal, liquid or lyophilized forms, preferred tags, and the desired functional sequence range for proteins. Submitting a written inquiry expedites the quoting process.
Product Overview
| Product Title | Rabbit anti-Human ALDH6A1 Polyclonal Antibody |
| Description | The antibody against ALDH6A1 was raised in rabbit using the Fusion protein of Human ALDH6A1 as the immunogen. This antibody exists as a non-conjugated isotype IgG, Antigen affinity purified. This antibody has been validated on ELISA, WB, IHC. |
| Uniprot Id - Alink | Q02252 |
| Host Species | Rabbit |
| Reactivity | Human, Mouse, Rat |
| Target Name | ALDH6A1 |
| Target Synonyms | 1110038I05Rik antibody; AI314632 antibody; Aldehyde dehydrogenase 6 family member A1 antibody; Aldehyde dehydrogenase family 6 member A1 antibody; Aldehyde dehydrogenase family 6, subfamily A1 antibody; ALDH6A1 antibody; Malonate semialdehyde dehydrogenase antibody; Malonate-semialdehyde dehydrogenase [acylating] antibody; Methylmalonate semialdehyde dehydrogenase [acylating] mitochondrial antibody; Methylmalonate-semialdehyde dehydrogenase [acylating] antibody; MGC37325 antibody; MGC40271 antibody; Mitochondrial acylating methylmalonate semialdehyde dehydrogenase antibody; mitochondrial antibody; MMSA_HUMAN antibody; MMSADHA antibody; MMSDH antibody |
| Immunogen Description | Fusion protein of Human ALDH6A1 |
| Immunogen Species | Human |
| Immunogen Sequence | Complete sequences for the immunogen, target protein, and peptides are available upon request. |
| Conjugate | Non-conjugated |
| Clonality | Polyclonal |
| Isotype | IgG |
| Purification Method | Antigen affinity purified |
| Buffer | pH7.4 PBS, 0.05% NaN3, 40% Glycerol |
| Form | Liquid |
| Application | ELISA, WB, IHC |
| Storage Conditions | Upon receipt, store at -20°C or -80°C. Avoid repeated freeze. |
